
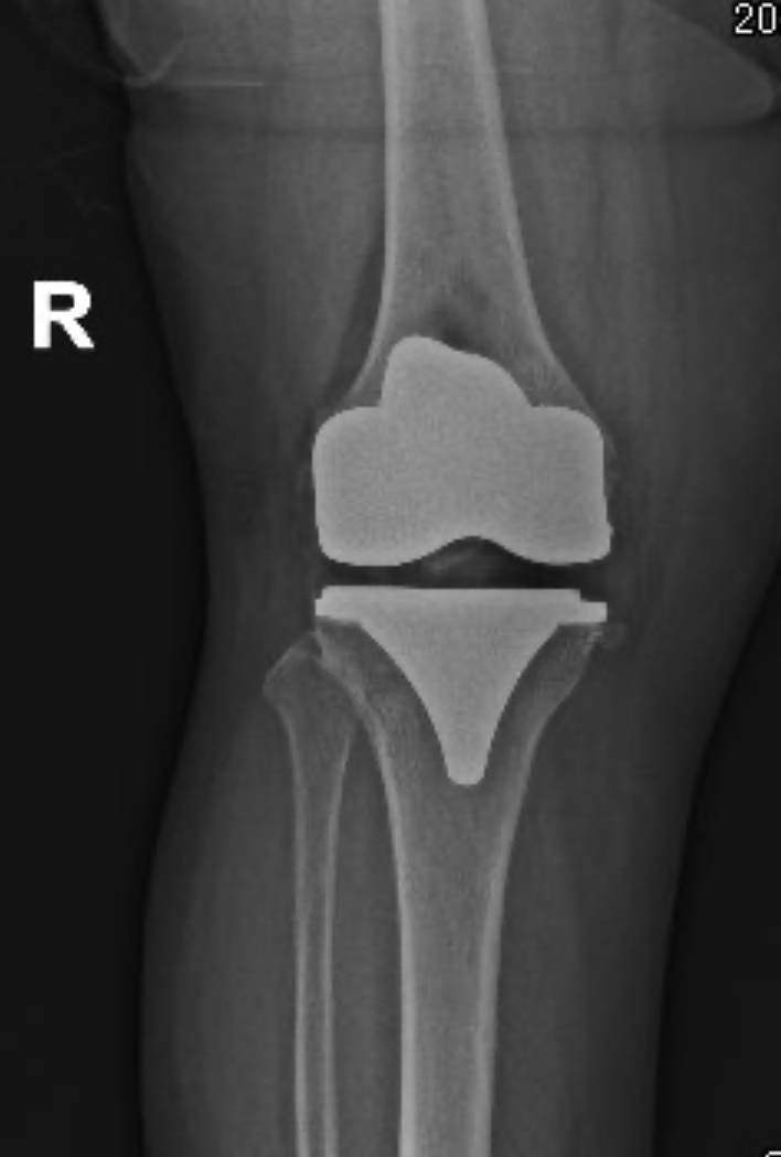
Prótesis Total De Rodilla
Recupera la función de tu rodilla y presenta alivio de dolor.
MX$95600.00
Paquete de Cirugía: Prótesis Total de Rodilla
Costo total: $95,600.00 MXN
Este paquete incluye todo lo necesario para tu cirugía, sin costos ocultos, con atención integral en Hospital Santo Tomás.
Incluye:
$20,000.00 en Biloba Medical Center
$20,000.00 en Hospital Médica Del Sol
$27,800.00 en Hospital Santo Tomás
Paquete de cirugía, una noche
Uso de quirófano y rayos X intraoperatorios
Medicamentos dentro del quirófano
$39,100.00
Equipo y material quirúrgico, incluyendo:
Prótesis total de rodilla (sin IVA)
Honorarios médicos completos:
Cirujano - $20,000.00
Anestesiólogo - $8,500.00
Ayudante - $ 6,500.00
Instrumentista $-1,500.00
Este paquete está diseñado para ofrecerte una cirugía segura, accesible y con calidad médica especializada, enfocada en aliviar el dolor, recuperar la movilidad y mejorar tu calidad de vida.
¿En qué consiste la cirugía de prótesis total de rodilla?
La prótesis total de rodilla es un procedimiento en el que se reemplazan las superficies dañadas de la articulación por componentes metálicos y de polietileno de alta durabilidad.
La cirugía elimina el desgaste causado por artrosis avanzada y permite recuperar movilidad y aliviar el dolor.
Durante el procedimiento:
Se retira el cartílago y hueso deteriorado.
Se colocan componentes que recrean la forma natural de la rodilla.
Se equilibran los ligamentos para brindar estabilidad y movimiento fluido.
El objetivo principal es disminuir el dolor, mejorar la función y permitir al paciente volver a caminar y realizar sus actividades con mayor calidad de vida.
